Периодонтит зуба
лечение в Минске
Периодонт зуба (зубная связка) – это комплекс тканей, которые удерживают корень зуба, помогают занимать ему устойчивое положение при давлении (жевании). Строение периодонта включает в себя десну, периодонтальную связку, костную ткань челюстей, расположенную вокруг зубов и цемент зуба, покрывающий его корень.
Периодонт, как и другие ткани в нашем организме подвержен различным по степени тяжести заболеваниям.
Лечим периодонтит современными методами
Эффективность лечениея периодонта во многом зависит от уровня квалификации лечащего врача. В нашей клинике работают опытные периодонтологи (пародонтологи), которые 2 года проходили специализацию на кафедре периодонтологии БГМУ, а также клиенты клиники имеют возможность проконсультироваться и пройти лечение у доцента кафедры периодонтологии БГМУ.
Знающие свое дело специалисты клиники «Профи Дент» применяют все свои знания и умения в области периодонтологии для достижения высоких результатов в вашем лечении.

Причины развития периодонтита
Существует множество причин развития заболеваний периодонта, например, таких как постоянные стрессы, курение, хронические заболевания (диабет, болезни желудочно-кишечного тракта и др.), зубочелюстные аномалии и деформации, несбалансированное питание (недостаток в пище витаминов, Ca, F и других микроэлементов, избыток сахара в пище и напитках) и прочее.
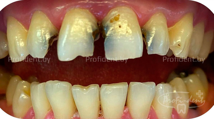
Однако основной причиной является наличие зубных отложений (зубной налет и камень), которые возникают вследствие небрежного отношения к гигиене в полости рта. Зубной налет, а если рассматривать, болезнетворные бактерии и микроорганизмы, которые в нем развиваются, медленно разрушают ткани. Также накопление зубного налета способствует образованию гингивита.
Виды периодонтита
- Апикальный: наиболее распространённый вид, когда инфекция поражает корень зуба и ткани вокруг него. Лечение апикального периодонтита проводит стоматолог-терапевт.
- Гранулирующий (иногда пациенты путают и называю "гранулированный периодонтит"): развивается после травмы или инфекции, которая вызывает воспаление в области корня зуба.
- Фиброзный: хроническая форма заболевания, которая характеризуется образованием фиброзной ткани вокруг корня зуба.
- Гранулематозный: развивается при наличии гранулёмы (опухоли) в области корня зуба.
- Обострение хронического периодонтита: возникает при обострении хронической формы заболевания, когда инфекция распространяется на соседние ткани и вызывает сильные боли.
Каждый вид периодонтита требует своего подхода к лечению, поэтому важно обратиться к стоматологу для точной диагностики и назначения соответствующего лечения.
Симптомы периодонтита
Симптомы периодонтита могут различаться в зависимости от степени и типа заболевания. Если у вас есть подозрение на периодонтит, следует обратиться к стоматологу для диагностики и лечения. Основные симптомы перечислены ниже.
- Боль. Основным симптомом периодонтита является боль в зубе или вокруг него. Боль может быть острой, пульсирующей или ноющей.
- Чувствительность. Зубы могут стать чувствительными к горячему, холодному, сладкому или кислому.
- Отек. Иногда может наблюдаться отек десны или лица в области пораженного зуба.
- Кровотечение. При периодонтите может возникать кровотечение из десен.
- Плохой запах изо рта.Периодонтит может вызывать неприятный запах изо рта.
- Изменение положения зуба. Если периодонтит прогрессирует, зуб может начать шататься или изменить свое положение.
- Абсцесс. В некоторых случаях может развиться абсцесс, который проявляется в виде болезненной опухоли.
Некоторые пациенты отмечают, что испытывают общее недомогание, такое как усталость или слабость.
Заболевания периодонта,
которые успешно лечат «Профи-Дент»
Гингивит
Гингивит – это воспаление десны, вызванное в наибольшем количестве случаев, микроорганизмами, находящимися в зубном налете. Также это заболевание вызывается некачественным протезированием, ортодонтическими патологиями, некоторыми соматическими заболеваниями и, конечно же, наличием зубных камней.
Зубной камень - это мягкий минерализованный зубной налет. Существует два вида камней: наддесневые камни (можно увидеть самостоятельно) и поддесневые зубные камни, они образуются в пародонтальных карманах и не видны без специального осмотра.
Именно поэтому лечение этого заболевания производиться только специалистом, а вот профилактикой может заняться каждый, для этого необходимо регулярно посещать стоматолога, тщательно следить за гигиеной полости рта. Если вовремя не заняться лечением гингвита, то это заболевания перейдет в периодонтит.
Периодонтит
Периодонтит (пародонтит) – воспаление тканей периодонта и корневой оболочки зуба. Причинами развития этой болезни могут быть инфекция либо травма зуба. Характеризуется наличием таких признаков, как выделение крови из десен, неприятный запах, дискомфорт при жевании.
Если вы стали замечать, хотя бы один из этих признаков, вам следует незамедлительно обратиться к опытному специалисту. Так как впоследствии может возникнуть обострение процесса, которое сопровождается болью, увеличением подвижности зубов, гноетечением, образованием периодонтальных абсцессов, нарушением функции жевания.
Пародонтоз
Также к заболеваниям периодонта которые диагностируют и лечат в клинике «Профи-Дент» можно отнести пародонтоз . Периодонтальная атрофия (пародонтоз) – это невоспалительный процесс, при котором уменьшается объем десны, обнажаются шейки зубов. Сопровождается он чувством зуда в деснах и чувствительностью шеек зубов.
Все вышеперечисленные заболевания, связанные с заболеваниями периодонта вы сможете диагностировать и лечить у опытных и умелых специалистов нашей клиники. Лечение в клинике «Профи-Дент» основано на принципе индивидуального подхода к каждому пациенту и неизменно носит комплексный характер: осмотр, обследование, диагностика, и только после этого специалист ставит диагноз и назначается лечение.
Записаться на консультацию
Преимущества лечения
переодонтита в «Профи-Дент»
При первом посещении врач-периодонтолог определяет количество зубных отложений, степень кровоточивости десны, измеряет глубину периодонтальных карманов. Анализируются панорамные снимки. При необходимости назначаются дополнительные методы исследования (денситометрия, биохимический анализ крови).
Начальным этапом в лечении является профессиональная чистка зубов и индивидуальный подбор для каждого пациента средств гигиены.
Полное удаление зубных отложений с последующей полировкой поверхности твердых тканей является наиболее важным аспектом в лечении болезней периодонта на каждом этапе лечения, так как состав микроорганизмов, вызывающих болезни периодонта с регулярностью в 3-6 месяцев восстанавливаются. Поэтому при лечении рекомендуется периодическое удаление зубных отложений.
Клиника «Профи-Дент» предлагает:
- Комплексную консультацию всех необходимых специалистов (периодонтолога, ортодонта, ортопеда и хирурга)
- Цифровой рентген, включая панорамные снимки и их анализ
- Составление индивидуального плана комплексного лечения и прогноза для каждого зуба и в целом заболевания
- Индивидуальный подбор методов и средств гигиены ротовой полости
- Удаление над- и поддесневых зубных отложений с помощью современных ультразвуковых систем и специальных порошков (Air Flow)
- Коррекция пломб и реставраций для уменьшения адгезии зубного налета
- Шинирование подвижных зубов с применением стекловолоконных лент
- Изготовление релаксационных капп для лечения бруксизма
- Ортодонтическое перемещение сместившихся зубов с помощью Damon брекет-системы
- Протезирование зубов с использованием американских технологий;
- Хирургическое лечение с восстановлением кости швейцарскими методиками
- Поддерживающую терапию и динамическое наблюдение у периодонтолога для закрепления достигнутых результатов









Успешный 25-летний
Команда из 25 стоматологов-профессионалов
Высокий рейтинг среди стоматологов республики
Самые сложные клинические случаи традиционно «присылают» в Профи-Дент
Исправляем прикус в любом возрасте(самому старшему нашему пациенту — 69 лет и более!)
Возможность полного диагностического обследование – свой рентгенологический комплекс
Врачи Профи-Дент занимаются научной и образовательной работой
Сотрудничаем со всеми ведущими производителями стоматологической продукции
Информационная и юридическая поддержка пациента