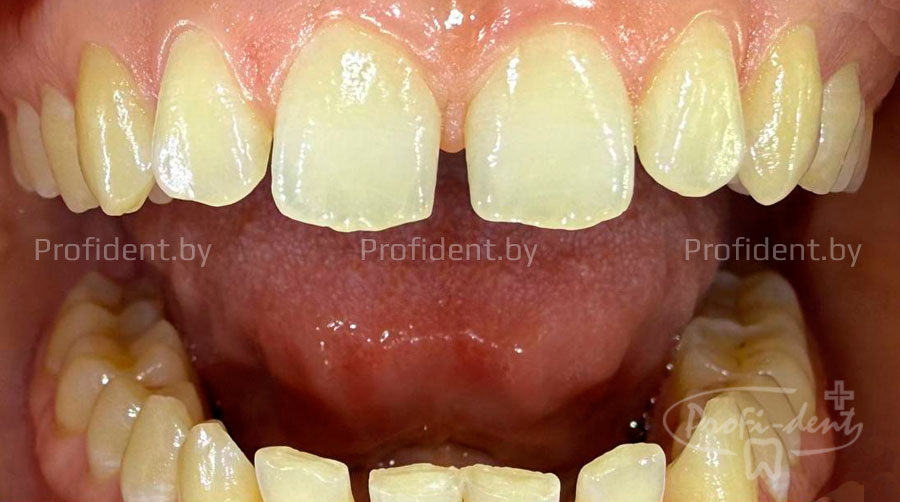
Примеры работ
Too many filters are selected
 Успешный 25-летний
Успешный 25-летний Команда из 25 стоматологов-профессионалов
Команда из 25 стоматологов-профессионалов Высокий рейтинг среди стоматологов республики
Высокий рейтинг среди стоматологов республики Самые сложные клинические случаи традиционно «присылают» в Профи-Дент
Самые сложные клинические случаи традиционно «присылают» в Профи-Дент Исправляем прикус в любом возрасте(самому старшему нашему пациенту — 69 лет и более!)
Исправляем прикус в любом возрасте(самому старшему нашему пациенту — 69 лет и более!) Возможность полного диагностического обследование – свой рентгенологический комплекс
Возможность полного диагностического обследование – свой рентгенологический комплекс Врачи Профи-Дент занимаются научной и образовательной работой
Врачи Профи-Дент занимаются научной и образовательной работой Сотрудничаем со всеми ведущими производителями стоматологической продукции
Сотрудничаем со всеми ведущими производителями стоматологической продукции Информационная и юридическая поддержка пациента
Информационная и юридическая поддержка пациента