Окончила ординатуру на кафедре общей стоматологии БелМАПО в 2012 году.
Занимается эстетической реставрацией и отбеливанием зубов, владеет всеми методиками, включая и лазерное отбеливание. Проходила обучение на курсах ULTRADENTв 2010 году в Афинах. Постоянно совершенствует теоретические и мануальные навыки на мастер-классах и международных стоматологических конференциях.
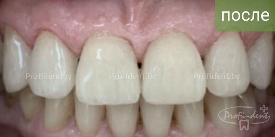
В настоящее время изучает и активно внедряет в практику лазерные технологии, как наиболее перспективные и безальтернативные по своему воздействию на биологические ткани.
О себе: «Ценю в людях чувство юмора и умение общаться. Несомненно, стоматология- прикладная медицина. Но что стоит «сухой» профессионализм, пусть даже доведенный до совершенства, если доктор не слышит и не говорит со своим пациентом! Слушайте своих пациентов, и они вас многому научат».
Огромная благодарность Анне Игоревне Ширко. Очень талантливый стоматолог, который выполняет эксклюзивные работы по реставрации и возвращает идеальную улыбку.
Искренняя благодарность Ширко Анне Игоревне за профессиональную стоматологическую помощь и доброе человеческое отношение. От души всего наилучшего!
Выражаю благодарность Широко Анне Игоревна за высокое качество проделанной работы, индивидуальному подходу к каждому зубу и энтузиазму, с которым осуществлялось лечение. СПАСИБО ОГРОМНОЕ.
Я клиентка клиники "Профидент" уже более 17 лет. Не было ни одного раза, чтобы я пожалела об этом выборе. Сейчас обслуживаемся всей семьей. И вчера после приема, сотрудницы ресепшен обратили внимание, что можно оставить отзыв о работе. Почему вы не делали это раньше? С большой благодарностью к моим врачам: Ширко Анна Игоревна - любовь и доверие на всегда! Спасибо за здоровье и сохранение наших зубов). Шишов Владимир Григорьевич - неординарный и харизматичный, с Вами понимаешь что и зачем, а главное на сколько лет все делаем. Фроленков Александр Сергеевич - особенный доктор и человек, идеально - это про Вас, спасибо за красивую улыбку после ношения брекетов моей дочки! Но самое главное это лицо клиники - тактичные, приятные и невероятно позитивные сотрудницы ресепшен! Спасибо за найденные окошки, напоминания о записи и хорошем насторении!
Хочу выразить свою огромную благодарность Ширко Анне Игоревне за качественно оказанные услуги. Это действительно профессионал в своем деле. Спасибо Вам за теплое отношение. Желаю Вам всего самого наилучшего и только благодарных пациентов.
Отзыв Ани об исправлении прикуса у Юркевич Екатерины

Отзыв нашего постоянного клиента - Юрия Яковлева - о лечении зубов в стоматологии «Профи-Дент»
В преддверии Нового года и Рождества искренне хочется поздравить весь коллектив клиники Профи-дент с наступающими праздниками и поблагодарить за профессионализм, доброжелательность, индивидуальный подход к каждому клиенту. С особой сердечностью мои слова благодарности Барадиной Инессе Николаевне, Ширко Анне Игоревне, Горбачёву Фёдору Александровичу. Это высококлассные специалисты, которые с любовью относятся к своему делу, а значит к каждому клиенту. После доброжелательного, профессионального выполнения ими своей работы совершенно нестрашно посещение стоматолога. Довелось обратиться на консультацию и лечение и к Денисовой Юлии Леонидовне. Всегда приветлива, всегда найдёт лучшее решение непростой ситуации, поможет в решении проблем с зубами. Одним словом, эта клиника лучшая в сегменте стоматологических услуг, рекомендую её всем своим знакомым (есть с чем сравнить). Тут работают классные врачи-стоматологи. Профи-дент - это профессионализм, гарантия качества!!! За это вам огромное спасибо! Поздравляю с Новым годом и Рождеством! Желаю здоровья вам и вашим семьям, дальнейшего профессионального роста.
Здравствуйте, хочу выразить огромную благодарность доктору Ширко А.И. за добросовестный труд, вежливое отношение, профессионализм, тактичность и терпение. Она всегда готова помочь-волшебница!!! P.S Сейчас рекомендую всем знакомым. А также огромная благодарность всему коллективу.
Выражаю огромную благодарность всему коллективу «Профи-Дент».
Руководству за высококвалифицированный подбор врачей!
Отдельная благодарность администраторам за индивидуальный и вежливый подход к каждому пациенту.
Особо хочу выделить Ширко А.И., Ретнову Анну за высокопрофессиональные, последовательные, четко отлаженные действия.
Ширко Анна Игоревна врач от Бога. Перед ее профессионализмом преклоняюсь.
Исключительно дотошна и щепетильна в работе в паре с Ретковой Анной!
Желаю Вам процветания, много благодарных клиентов.




































Успешный 25-летний
Команда из 25 стоматологов-профессионалов
Высокий рейтинг среди стоматологов республики
Самые сложные клинические случаи традиционно «присылают» в Профи-Дент
Исправляем прикус в любом возрасте(самому старшему нашему пациенту — 69 лет и более!)
Возможность полного диагностического обследование – свой рентгенологический комплекс
Врачи Профи-Дент занимаются научной и образовательной работой
Сотрудничаем со всеми ведущими производителями стоматологической продукции
Информационная и юридическая поддержка пациента