Закончила ординатуру 3-ей кафедры терапевтической стоматологии БГМУ.
Специализируется на лечении пациентов с заболеваниями периодонта(пародонта).
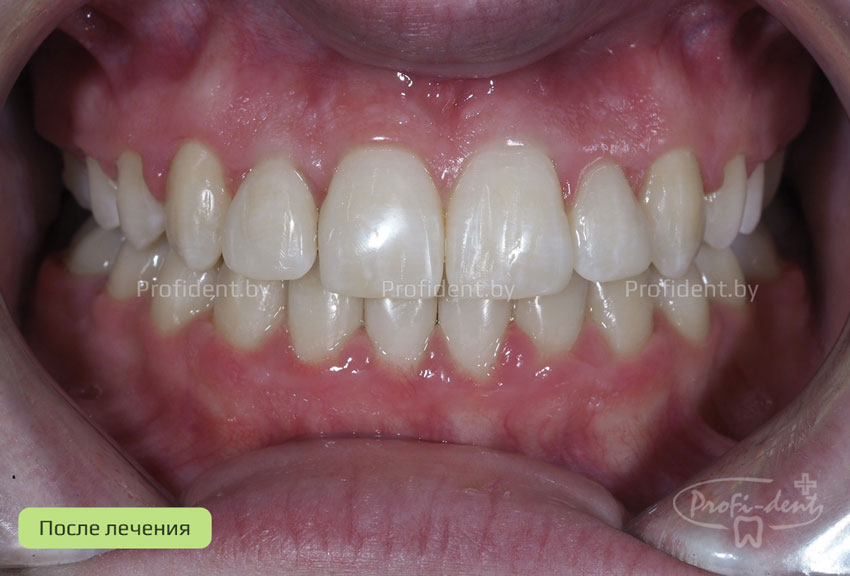
Владеет различными методиками лечения зубов (эстетическая реставрация, адгезивные протезы на стекловолокне, шинирование зубов, современное лечение корневых каналов), всеми видами отбеливания зубов нового поколения.
Татьяна Викторовна выступала с докладом на конференции молодых ученых.
Регулярно повышает свой профессиональный уровень, участвует в семинарах, конференциях и мастер-классах в Беларуси и за рубежом.
Выражаю огромную благодарность врачам Юркевич Екатерине Яковлевне и Павловой Татьяне Викторовне за высокую профессиональность. Врачи объяснили всё просто и понятно. Все работники очень вежливы. Очень рада что выбрала именно эту клинику.
Выражаю огромную благодарность и признательность стоматологу - терапевту высшей категории Павловой Татьяне Викторовне. Профессионализм, внимание к пациенту и результат работы этого врача достойны исключительной оценки! С уважением и благодарностью ваш пациент, благодарю ВАС!
Очень довольна посещением клиники. Администраторы работают четко, запись без задержек, общение очень приятное. Попала на прием к Денисовой, а так же к Павловой. Хочу отметить, что оба специалиста профессионалы своего дела. От них я получила грамотные рекомендации, которые дают надежду даже тогда, когда кажется, что выхода уже нет. Павлова Т.В. провела чистку, при дико сложной ситуации с зубами, после столь неприятной процедуры остались только положительные эмоции. В целом могу отметить, Профи-Дент это та клиника, куда хочется возвращаться и то место, где ты действительно находишь врачей, которые помогут сохранить здоровье зубов.
Я просто не могу не поделиться своим восхищением работой Павловой Татьяны Викторовны! Мои зубы были в ужасном состоянии: налёт, пигментация, скол на переднем зубе... Татьяна Викторовна провела профессиональную гигиеническую чистку и ювелирную реставрацию. Теперь у меня голливудская улыбка, о которой я и мечтать не могла! Спасибо огромное за преображение! Стоматолог, Павлова Татьяна Викторовна - настоящий волшебник! Рекомендую всем, кто хочет иметь красивые и здоровые зубы!
Выражаю огромную благодарность доктору Павловой Т.В. за профессионализм, доброжелательность, понимание проблемы и оказание непосильной помощи в ее решении. А также администратору Оксане за вежливое, внимательное, доброжелательное отношение к пациентам (всем, кто находится со мной в одно время) Спасибо за подбор кадров. Посещать «Профи-Дент» одно удовольствие.
Добрый день! Выражаем огромную благодарность от всей семьи за золотые руки, профессионализм врачу стоматологу высшей категории Павловой Татьяне Викторовне!!! Мы долго вас искали нашего семейного доктора! Благодарим вас!!! С наилучшими пожеланиями.Семья Сапожниковых:)))
Очень благодарна врачу Павловой Татьяне Викторовне! Не единожды была у нее на приёме и всегда это - максимальное внимание, реальное погружение в мои проблемы, лечение проходит комфортно и результатом я довольна. А ещё квалифицированные сотрудники и приветливые администраторы. Дружелюбие, профессионализм - чувства, которые остаются после посещения этой стоматологии. Рекомендую.
В октябре была на приеме у доктора Белясовой Елены Михайловны на профгигиене полости рта ульразвуком. Благодарю за отличную работу, зубки помолодели! В ноябре меняла пломбы в центральных зубах. Особая благодарность доктору Павловой Татьяне Викторовне за филигранную работу (пломба была большая). Признательна докторам и их ассистентам за внимание и предупредительность. На ресепшене доброжелательно подберут удобную для вас дату и время. В декабре продолжу лечение и, конечно, в Profi-dent.
Всегда с удовольствием посещаю эту клинику. Огромная благодарность Павловой Татьяне Викторовне.
Отзыв Анастасии о стоматологическом лечении в клинике «Профи-Дент»
Огромное спасибо всему персоналу клиники «Профи-Дент» за безупречное обслуживание, дружелюбие! Павлова Татьяна Викторовна врач с золотыми руками! Очень добрый, светлый и хороший человек! Отдельное ей спасибо!
Хочу выразить огромную благодарность доктору Павловой Татьяне Викторовне и Горбачеву Федору Александровичу. Благодаря этим талантливейшим врачам я вернула себе улыбку и навсегда забыла состояние страха перед кабинетом стоматолога. С первой минуты общения возникает абсолютное доверие и понимание, что перед тобой высокий профессионализм и знание своего дела. Лечение и операция по имплантации прошли совершенно безболезненно. Сразу же привела ребенка на лечение и сложное удаление зубов мудрости. Очень довольна, что обратилась именно в эту клинику. Цена оправдана высоким качеством. Огромное спасибо! Рекомендую.

«Я лечусь в стоматологии «Профи-Дент» уже очень много лет, с самого детства, и благодаря этому у меня никогда не было больших проблем с зубами. ...» Весь отзыв о лечении у Павловой Татьяны Викторовны смотрите в видео.
В стоматологии "Профи-Дент" на Притыцкого 39 я лечусь 6 лет. Администраторы всегда приветливые и вежливые. Мой доктор - Павловна Т.В., этот доктор от бога. На приёме не страшно, и совсем не больно, пожалеют, прибодрят и пошутят. Я очень доволен. Свою стоматологию и врача-стоматолога я нашёл. Профи-Дент, вы лучшие.









































Успешный 25-летний
Команда из 25 стоматологов-профессионалов
Высокий рейтинг среди стоматологов республики
Самые сложные клинические случаи традиционно «присылают» в Профи-Дент
Исправляем прикус в любом возрасте(самому старшему нашему пациенту — 69 лет и более!)
Возможность полного диагностического обследование – свой рентгенологический комплекс
Врачи Профи-Дент занимаются научной и образовательной работой
Сотрудничаем со всеми ведущими производителями стоматологической продукции
Информационная и юридическая поддержка пациента