Здравствуйте! Меня зовут Борисова Татьяна, и я горжусь тем, что являюсь частью команды профессионалов в клинике «Профи-Дент». Моя работа — это не просто профессия, а истинное призвание, которое позволяет мне ежедневно дарить людям здоровье и улыбки. В стоматологии меня привлекает как наука, так и искусство, ведь каждая улыбка уникальна и требует индивидуального подхода. Моя цель — обеспечить вам комфортное и безболезненное лечение, при этом добиваясь превосходных эстетических результатов.
Помимо своей профессиональной деятельности, я обожаю играть на фортепиано. Музыка для меня — это способ выразить свои эмоции и найти гармонию. Игра на фортепиано помогает мне оставаться сосредоточенным и творческим, что, безусловно, отражается и на моей работе.
В свободное время я люблю путешествовать со своей семьей. Путешествия открывают для нас новые горизонты, знакомят с культурами и людьми. Мы особенно любим Италию — страну, где каждый уголок пропитан историей, искусством и изысканной кухней. Я была в Италии много раз, и каждый раз открываю для себя что-то новое и удивительное.
В нашей клинике я стремлюсь создать атмосферу доверия и заботы, чтобы каждый пациент чувствовал себя как дома. Ваше здоровье и комфорт — мои приоритеты, и я всегда готова ответить на все ваши вопросы и предложить наилучшие решения для вашей улыбки.
Приходите ко мне на прием, и давайте вместе сделаем вашу улыбку ярче!
Сфера деятельности
Закончила Белорусский Государственный Медицинский Университет в 2012 году.
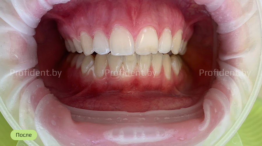
Владеет всеми манипуляциями терапевтического профиля (эстетические реставрации, шинирование зубов, адгезивное протезирование, лечение корневых каналов, отбеливание зубов). На приеме использует передовые технологии для профилактики, диагностики и лечения стоматологических заболеваний. Индивидуально подходит к проблемам своих пациентов, предлагая оптимальные тактики лечения.
Постоянно повышает свой профессиональный уровень, посещая выставки, семинары, мастер-классы, курсы усовершенствования врачей.
Направления работы:
- составление комплексного плана лечения,
- оказание неотложной помощи,
- эстетические реставрации,
- лечения кариеса и его осложнений,
- адгезивное протезирование,
- шинирование зубов,
- отбеливание зубов,
- профессиональная гигиена полости рта.
Была на приеме у Борисовой Т.В. Тактичный, вежливый, внимательный врач! Она не насоветует лишнего и сохранит каждый сантиментр зуба) Вернусь обязательно только к ней!
Спасибо Борисовой Татьяне Владимировне за внимательное отношение к пациентам. Была недавно на приеме. Попала к ней первый раз, ранее лечила зубы у Романовской Е.Н., а сейчас моя врач находится в декретном отпуске. Врач осмотрела все зубы, т. к.я не была в этом году у стоматолога и поставила пломбу. Очень внимательная врач, сразу посоветовала мне сделать проф.чистку зубов и снять камни и предложила запись на ближайшее время. Спасибо доктору за внимательное отношение. Оч.приятно приходить к таким людям
Живу возле прекрасной стоматологии Профидент, поэтому без сомнения обслуживаемся только здесь. Проходила лечение у высококлассного профессионала своего дела Борисовой Татьяны! Если бы все врачи нашего города были такими крутыми, как она, то я была бы на седьмом небе от счастья! Грамотная, компетентная, приятная, четкая. Спасибо Татьяне за идеальную улыбку ☺️
Спасибо огромное доктору за мои зубы. Случай был непростой. Стоматолог Борисова Татьяна взялась за него. И спасибо ей за это огромное. Все что надо сделали и все получилось! Ура! Теперь без раздумий только к ней.
Лечила 3 зуба (2 приема) у доктора Борисовой. Если что-то понадобится снова приду к ней, т.к. доктор мне понравилась.
Стоматология понравилась. Администраторы вежливые, смс для подтверждения записи и отзыва это круто и удобно. Зубки мне отбелили. Сияют. Красота! Хочу отдельно поблагодарить доктора Борисову Татьяну Владимировну, за отношение и профессиональный подход.
Хочу сказать спасибо лучшему врачу стоматологу Борисовой Татьяне Владимировне. У нас с ней было большое дело по реконструкции 2 ух потемневших передних зубов. Оказывается для современной стоматологии нет нерешаемых задач. Теперь зубы светлые, красивые и здороввые. Рекомендую и врача и стоматологию Профидент. Все на высшем уровне.
Хочу выразить благодарность стоматологу Борисовой Татьяне Владимировне! Благодаря этому замечательному доктору я с удовольствием вылечил 6 зубов. Спасибо за подробную профессиональную консультацию, за качественную и безболезненно выполненную работу. Доброе отношение к пациенту и желание сделать все наилучшим образом вызывает бесконечное уважение и желание обращаться к Вам снова!






























Успешный 25-летний
Команда из 25 стоматологов-профессионалов
Высокий рейтинг среди стоматологов республики
Самые сложные клинические случаи традиционно «присылают» в Профи-Дент
Исправляем прикус в любом возрасте(самому старшему нашему пациенту — 69 лет и более!)
Возможность полного диагностического обследование – свой рентгенологический комплекс
Врачи Профи-Дент занимаются научной и образовательной работой
Сотрудничаем со всеми ведущими производителями стоматологической продукции
Информационная и юридическая поддержка пациента